脑卒中的防治
脑卒中在中国已上升为第一位死亡原因。随着我国经济的飞速发展、人民生活水平的提高、生活方式的改变以及人口老龄化,导致高血压、糖尿病、高脂血症等脑卒中的危险因素日益增多。脑卒中的发病率和死亡率呈上升趋势,严重危害中、老年人的健康与生命。
近几年的国内外研究资料证实,脑卒中是可以早期预防的。然而,由于目前我国民众对脑卒中防病治病知识十分缺乏,对脑卒中应该早期预防、早诊断、早治疗的认识还远远不够,因此常常导致严重后果。很多人在发生脑卒中后往往延误治疗时机,重者丧失生命,轻者留下不同程度的后遗症,造成终生遗憾。
一、脑卒中是什么病?
脑卒中也称为脑中风,这种病是由于大脑里面的血管突然发生破裂出血或因血管堵塞造成大脑缺血、缺氧而引起。临床分为出血性和缺血性两大类。出血性卒中包括临床上诊断的脑出血和蛛网膜下腔出血两种;缺血性卒中临床常用的诊断分类名词较多,包括脑梗塞(或称脑梗死)、脑血栓形成、脑栓塞等。脑出血患者多会表现剧烈头痛、频繁呕吐、半身瘫痪甚至昏迷不醒等症状,严重者甚至很快死亡。蛛网膜下腔出血最常见的原因是颅内动脉瘤破裂或脑血管畸形破裂引起,一般发病较急,头痛剧烈,以中青年人居多。发生缺血性卒中一般症状较平缓,绝大多数患者意识清楚,表现为半身瘫痪或无力、言语困难、肢体麻木等。
二、脑卒中是我国中老年人的最主要杀手
按照20年前的调查数据推算,我国脑卒中每年新发病例约200万人,每年死于脑卒中超过150万人,脑卒中后存活者约有600~700万人。在存活的患者中,约75%~80%会留有不同程度的残疾,其中重度残疾超过40%。约有1/4至1/3可能在2至5年内复发。随着近年我国居民生活水平的提高和生活方式的改变,脑卒中人群发病率还在不断上升。特别是由于医疗条件的改善和临床医疗技术的进步,卒中的病死率明显下降,但同时也导致了患病率大幅上升,造成更大的疾病负担。脑卒中已成为严重危害我国中老年人健康的主要疾病。
三、脑卒中早期有什么症状?
脑卒中的早期症状往往没有受到患者或家属的重视,因而没有紧急送医院,最终延误了治疗。因此,认识脑卒中的早期症状有非常重要的意义。那么脑卒中早期有哪些症状呢?
无论是出血性还是缺血性脑卒中,起病突然,对安静或活动时突然发生的下列症状,必须高度警惕,常见的症状有:
1、全脑受损害症状:头痛、恶心、呕吐,严重者有不同程度的神志不清:如迷糊或昏迷不醒。
2、局部脑损害症状:脑的某一部位出血或梗死后,出现的症状复杂多样,但常见的主要有:
偏瘫,即一侧肢体没有力气,有时表现为没有先兆的突然跌倒。
偏身感觉障碍,即一侧面部或肢体突然麻木,感觉不舒服。
偏盲,即双眼的同一侧看不见东西。
失语,即说不出话,或听不懂别人及自己说的话,不理解也写不出以前会读、会写的字句。
眩晕伴恶心、呕吐,眩晕即看东西天旋地转或觉自身旋转。
复视,即看东西成双影。
发音、吞咽困难,说话舌头发笨,饮水呛咳。
共济失调,即走路不稳,左右摇晃不定,动作不协调。
这些症状有时单独出现一个,有时同时出现多个。“时间就是大脑”,一旦突然出现上述症状,必须立即拨打急救电话“120”,紧急送到有条件的医院救治。千万不要先找家人商量,或者以为过一会儿就没事了而不理会,而延误治疗。
四、脑卒中的就医指导
发生脑卒中后的就医原则有八个字:及早送医、专科诊治。
1、及早送医
是指在发现脑卒中的早期征兆后,第一时间到医院寻求诊治,不要有“在家休息一下可能就好了”,“现在不太稳定等好一点再去”等拖延时间的想法,这只能耽误诊治,对患者没有任何益处。即使是晚上,也要看急诊,尽快到医院,不能拖到第二天。
脑卒中治疗强调一个就医时机,正常脑组织在缺血3小时后就可能出现不可逆变化,6小时后则缺血脑细胞出现坏死。如果脑梗死的病人在3~6小时内施以溶解血栓治疗,就可能在脑细胞没有出现完全梗死之前,恢复氧供和血供,从而恢复全部或部分功能。这是目前惟一行之有效的治疗方案。
所有怀疑为脑卒中的患者,在发病后应该尽快到具备条件的医院就诊,争取良好治疗时机。脑出血患者更需尽早诊治,以防病情加重,错过手术等治疗时机。
2、专科诊治
发生脑卒中后,应该选择有条件提供早期诊断、早期血管评估、早期治疗的医院进行诊疗,由专业的神经科医生进行治疗。就诊的医院应该能够提供24小时不间断的CT检查,有磁共振、脑血管造影仪器设备,具有专业的神经内外科和放射科医生。在我国现存情况下,应该以三级医院神经内科为首选。
3、家属可以怎样配合医生快速完成病史询问和体格检查
患者来到医院后,首先由神经内科医生进行病史的询问和体格检查。这是最重要的一部分,因为病史中涉及到患者的发病时间、发病时的状态、发病后的症状,这对病情、病因和下一步治疗的判定都是必不可少的,这时需要家属尽量详细及尽快告知医生上述重要信息。有些家属来到医院后就急着做CT、脑电图等仪器检查,不耐心回答医生的问题,这反而会贻误病情,耽误治疗。询问病情后,医生会对患者进行生命体征、意识、瞳孔、语言、视力、肢体力量和感觉等方面的检查,以判断病情的轻重,决定治疗措施。
五、如何选择与脑卒中诊断相关的检查方法
1、患脑卒中后应该做什么检查
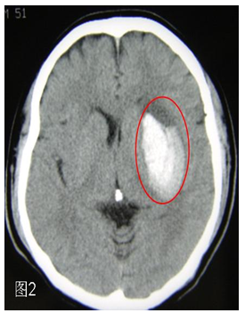
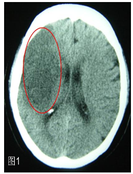
(1)首先应该做头颅CT
在某些地方也把头颅CT更形象地称作“脑扫描”。CT可以在最快的时间内了解,因为脑动脉堵塞而发生了脑梗死还是脑动脉破裂而出现了脑出血。脑梗死时头颅CT发现在脑组织出现了片状的黑色图像(图1),脑出血时可见在脑组织中出现了白色的团块(图2),一目了然。所以,得了脑卒中,第一要做的检查就是头颅CT。
因为头颅CT灵敏度不够,发现梗塞影像的时间较晚,因此就有必要选择MRI。对于有些特殊部位,譬如小脑和脑干,或微小的梗死。因此,有时候即使做了CT,医生还会给病人做MRI。
(3)尽管是脑卒中,但还要查心脏
有两个原因,一是因为患脑卒中后心脏会受到不同程度的影响,二是因为脑卒中有可能是心脏疾病所致,譬如心房纤颤或其他原因造成心腔内有血凝块,血凝块脱落以后会顺着血流进入脑动脉,造成脑动脉堵塞。所以,患了脑卒中一定要查心脏。医生会根据病情需要安排心电图、超声心动图等检查。
(4)需要检查颈部动脉干是否有病变
脑卒中是脑动脉堵塞,但医生却要查颈部动脉是否有病变,那是为什么?连接心脏和脑动脉的是颈部的四条动脉(前面两条颈动脉和后面两条椎动脉),因此,尽管头在上颈在下,但这些颈部动脉却是通往脑组织的上游动脉,我们可以统称其为“颈部动脉干”。如果颈部动脉干中的某一条或多条动脉的管壁像老化的水管子一样有很多的锈垢(动脉粥样硬化斑块),那么这些斑块的碎片一旦掉下来,就有可能顺着血流进入脑动脉而造成脑梗死。此外,颈部动脉干的管腔变窄或闭塞,其下游(脑动脉)还可以因得不到足够的血液供应而出现脑梗死。因此,脑卒中患者必须要查查居其上游的颈部动脉是否有粥样硬化斑块以及通畅程度。能检查颈部动脉干病变的方法包括颈动脉超声、颈动脉CT血管成像(CTA)、颈动脉磁共振血管成像(MRA)和脑动脉造影(DSA)。
(5)还要检查脑底动脉环的情况
门诊常常会遇到患者说,“大夫,我担心会脑梗,给我照张头颅CT吧”。待得知头颅CT正常就觉得万事大吉,照样该吃吃,该抽抽。或者头颅CT报告腔梗就紧张异常,其实这两种态度都不对。头颅CT正常只能说明你还没有得脑卒中,却不能告诉你将来是否易患脑卒中以及如何预防。很多病人颈动脉干或者脑底动脉环已经出现严重的动脉粥样硬化和管腔狭窄,头颅CT却完全正常,甚至头颅MRI都可以完全正常,所以,不能因头颅CT或头颅MRI正常就高枕无忧。而头颅CT上有个腔梗,即“腔隙性梗塞”,腔隙的意思是微小,说明脑的微小动脉有病变,需要引起注意,但不必过于焦虑。
最不能忽视的检查应该是脑动脉超声,包括颈动脉超声和TCD,这两项检查都具有无创伤性且相对价廉的特点,能判断颈动脉干和脑底动脉环是否光滑和通畅,粥样硬化斑块形成或管腔不通都是易患脑卒中的信号。超声查出问题了,再行必要的进一步检查,然后采取更积极的药物或者甚至手术干预才能真正达到预防脑卒中的目的。
3、各项常用脑动脉病变检查方法简介
(1)颈动脉超声
(2)经颅多普勒超声(TCD)
有的地方称其为脑超,但TCD不是“超”脑组织,而是“超”脑动脉。通过数个不同的探测窗,TCD能探测到脑底动脉环的各向血流,并以多普勒频谱的方式显示。分析所探测到脑动脉内血流的速度、频谱形态和声音等的变化,得到脑底各条动脉是否有狭窄或闭塞的检查结果。因为TCD看不到脑动脉的管径有多粗,所以TCD探测到的血流速度不能代表血流量,也就是说TCD不能诊断脑供血不足。图5所示为TCD的操作图和脑动脉狭窄时TCD血流速度增快的频谱。
(3)头和颈动脉核磁共振血管成像(MRA)
MRA也是核磁共振的一种,但显示的不是组织而是动脉,能直观并多角度地观察颈部或脑动脉所发生的狭窄或闭塞病变。
(4)头和颈部CT血管成像(CTA)
CTA也是CT的一种,与普通CT的区别第一是需要注射增强剂,第二CTA显示的不是组织而是动脉。与MRA相似,能直观多角度观察颈部或脑动脉所发生的狭窄或闭塞改变。
(5)脑动脉造影(DSA)
相关链接:
